Tooth Colored Fillings
Tooth decay (cavities) is caused by acids produced by the bacteria in dental plaque. Sticky plaque forms on the teeth daily and can lead to the breakdown of the hard outer layer of the tooth called the enamel. Once the enamel breaks down beyond a certain extent, it can’t regenerate on it’s own. The softened diseased enamel needs to be removed and replaced with filling material. You may experience sensitivity to cold liquids and foods or to sweets when you have a cavity. The majority of the time you will not experience any symptoms at all. Left untreated, cavities can progress and lead to a toothache. At Cherry Valley Dental, we will perform a tooth by tooth examination together with x-rays to detect tooth decay. Our dentists will restore your teeth back to health with tooth colored composite fillings. Cavities are best detected early while they are small so they can be treated conservatively with minimally invasive, fillings.
- Gumline Root Surface Cavities
- Tooth Colored Fillings
Curious what happens when you have a cavity restored? Watch our short video below to see the process from start to finish from a chairside perspective:

Filling Replacement
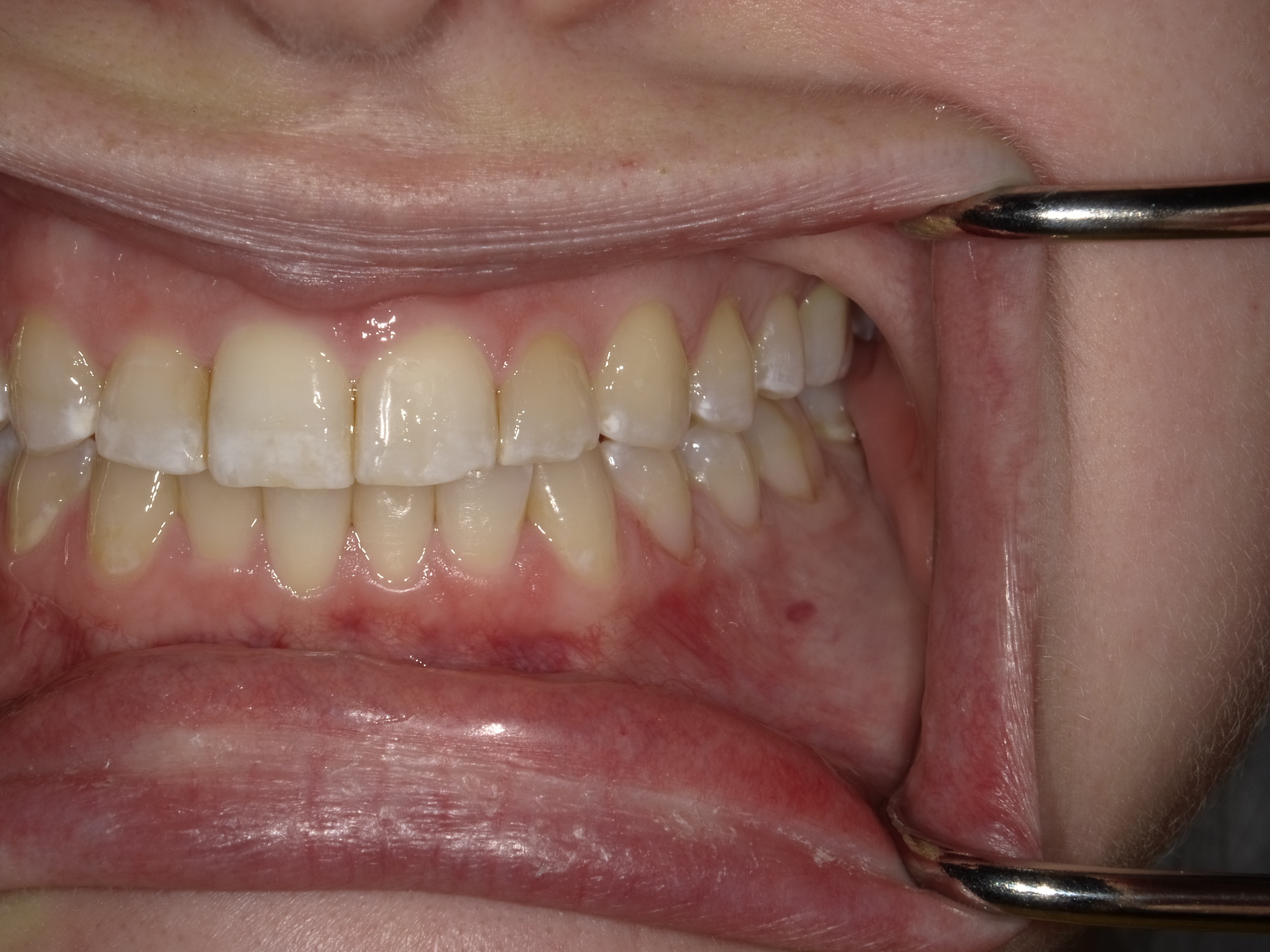
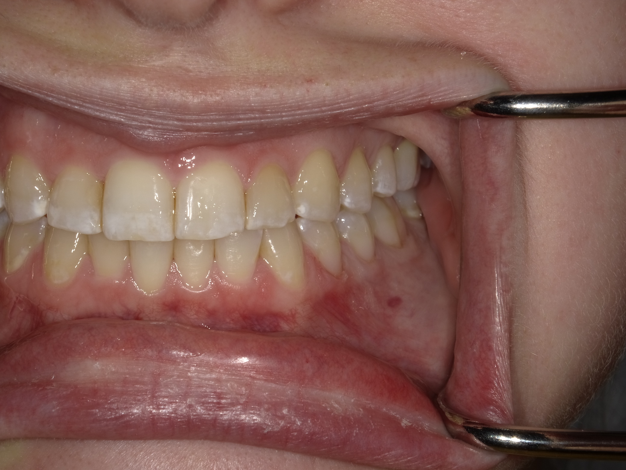
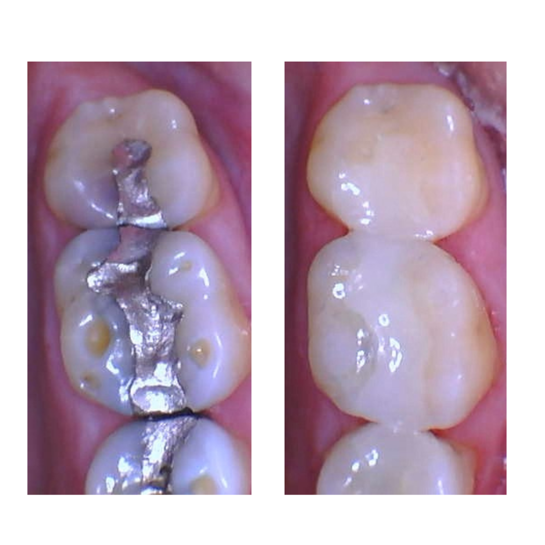
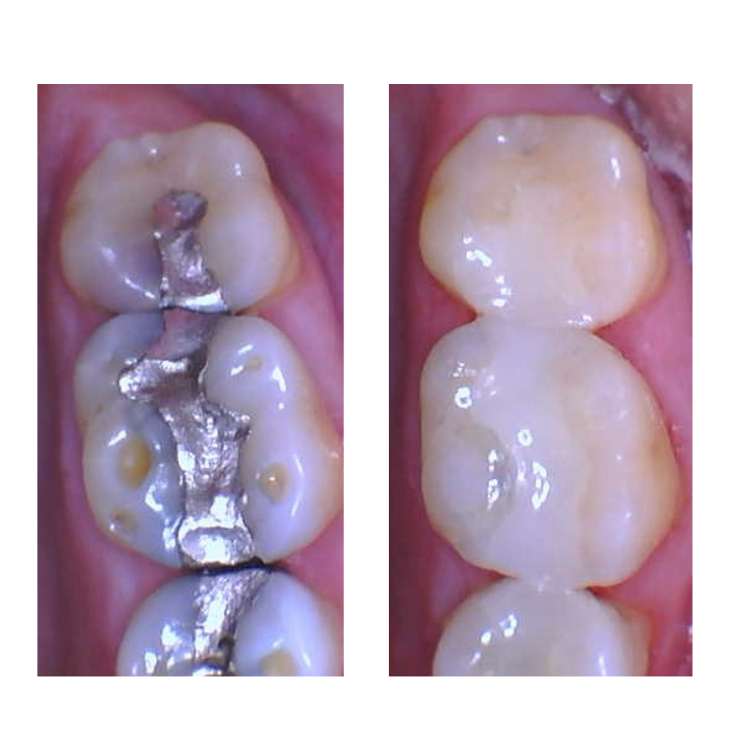
Unfortunately, no filling lasts forever. You may have old, silver fillings that were placed in your childhood or as a young adult. Eventually the junction between the filling and the tooth begins to break down, usually after many years. Sometimes cracks form adjacent to the fillings. Our dentists will examine the integrity of existing fillings at your initial new patient visit and at each routine check-up and recommend replacement of any fillings as needed. You can have them replaced with tooth colored composite filling material which not only is more esthetically pleasing but is bonded to your tooth resulting in less tooth sensitivity.
Your comfort is our priority. Enjoy music of your choice or the use of a personal entertainment system while you have your treatment done. Cherry Valley Dental and your Duvall dental team are here to ensure your dental experience exceeds your expectations.
Crowns


What is a Crown?
You may have large, older fillings that are beginning to break down or cracks in the enamel that cause you pain when you chew. Perhaps you have broken off a cusp or corner of your tooth while eating or during a sports activity. If you have lost 50% or more of your tooth, a crown is the best option for restoring it’s health and function. A crown acts like a protective helmet for your tooth preventing it from flexing apart and weakening further. Your tooth is prepared for a crown first by removing the existing filling material and/or tooth decay. Enough space is left on the top and sides of the tooth for a ceramic
tooth colored cover to fit over it down to the gumline.
Crowns can be made for front or back teeth and the color of the crown is chosen to blend in with the color of your adjacent teeth. Crowns are strong and durable and you will be able to return to normal chewing function in a short period of time.
Your comfort is our priority. Enjoy music of your choice or the use of a personal entertainment system while you have your treatment completed.
Cherry Valley Dental is your Duvall and Snoqualmie Valley dental destination experienced with the service of providing beautiful, long-lasting crowns
3D Scanner
We are using 3D high tech dental imaging technology to replace impression taking for most crowns, bridges, and veneer restorations. This allows us the capability to create 3D printed models of your teeth and digital records we can keep indefinitely. Comfortable, quick, and efficient.

3D Printed Model with Crowns
Watch our video for a demonstration of the scanning technique.

Replacing Missing Teeth
Dental Implants

Dental implants have become the number one solution for replacing missing teeth and for good reason. We can replace an individual tooth without anchoring to or involving adjacent teeth. This makes the replacement tooth easier to maintain and less of a risk to the health of the neighboring teeth The treatment is very successful and very predictable, if you are a good candidate for it.
What is it?
A dental implant is an artificial tooth root made out of biocompatible titanium. It is placed in the jawbone by a qualified dental specialist such as a Periodontist or an Oral Surgeon with local anesthetic and sometimes a mild sedative. Once placed, the implant takes about 4-6 months to fully integrate or “become one” with the upper jawbone and approximately 3 months to integrate with the lower jaw. Once integrated, an implant dentist, experienced in the restoration of dental implants, fabricates a custom fit crown to attach to it. The final crown is very strong and will look and function like a natural tooth. Our doctors are experienced implant restorative dentists and will help coordinate a plan to replace your missing tooth or teeth.
Fixed Bridge

If you are missing a front tooth we can arrange for a temporary tooth to be made until it is time to restore your implant. You do not have to go without teeth in your smile.
Send a Message
Contact
















