What is a Veneer?

Dental Veneer
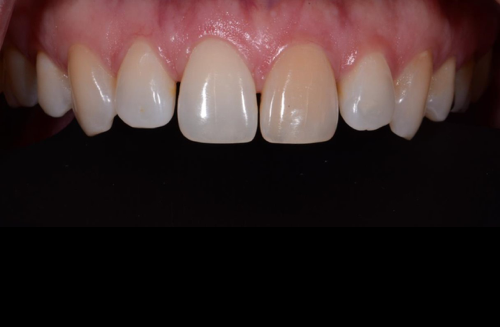
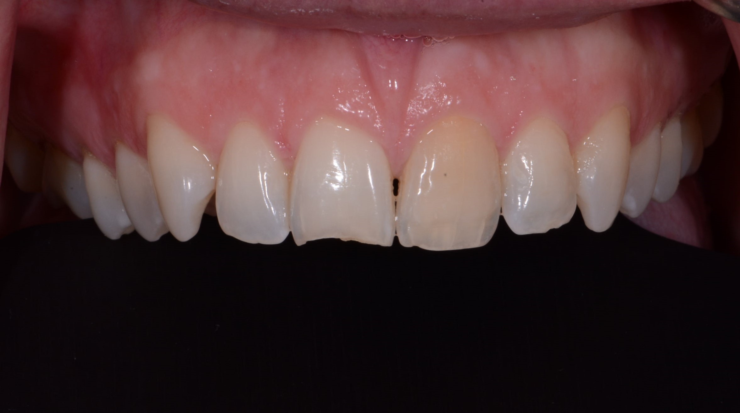
A veneer is a thin ceramic coating custom fit to the front of the teeth. It is about as thick as a contact lens and can be used to mask misshapen and rotated teeth, gaps between teeth, cracks, and discolorations. Veneers are highly polished and glazed so they resist staining and discoloration. You can place a veneer over a single tooth or multiple teeth. It is a conservative easy treatment to quickly enhance your smile.
The veneer process begins with photographs and scans of your teeth and smile followed by a digital mock-up of the desired projected outcome. The process of preparing the teeth for veneers is divided into two steps. The first step involves creating room on the front of the teeth by removing a minimal amount of enamel. Temporary resin veneers, shaped liked the expected final ones, are placed on the teeth while the dental ceramist artistically creates the beautiful ceramic veneers. These are tried onto the teeth, evaluated for color, shape, and fit and are bonded in place.
- Before
- After
- Before
- After
- Before
- After
- Before
- After
- Before
- After
- Before
- After

Ceramic Veneers
To learn more about the benefits of veneers, schedule a consultation with one of our local Duvall cosmetic dentists.













